Dental health plays a significant role in overall well-being, so immediate action can help prevent further complications when issues occur. When concerns like infections, crowding, or decay arise, tooth extractions may be the key to restoring oral health. Here is information on how extractions help maintain health and the procedure methods used:
Tooth Extractions and Prevention
Tooth extractions remove damaged, decayed, infected, or otherwise problematic teeth from the socket. While dentists always aim to preserve natural teeth, there are times when extraction becomes a fundamental step in improving and protecting oral health. Removing specific teeth can simplify orthodontic treatments, like braces, and prevent complications from improper tooth alignment that could result in hygiene challenges or decay.
Preventing Infection
A primary reason for tooth extraction is to prevent the spread of infection. When decay or trauma extends to deeper layers of the tooth, it can lead to infections that impact surrounding teeth. This infection can spread, impacting other areas of the body, too.
Removing the affected tooth eliminates the source of the infection and creates a healthier environment for the rest of the mouth. Wisdom teeth, particularly impacted ones, frequently require extraction. These teeth can trap food and bacteria, leading to gum infections and potential abscesses. Eliminating an infected or impacted tooth greatly reduces the risk of oral and systemic health issues.
Extraction Types and Methods
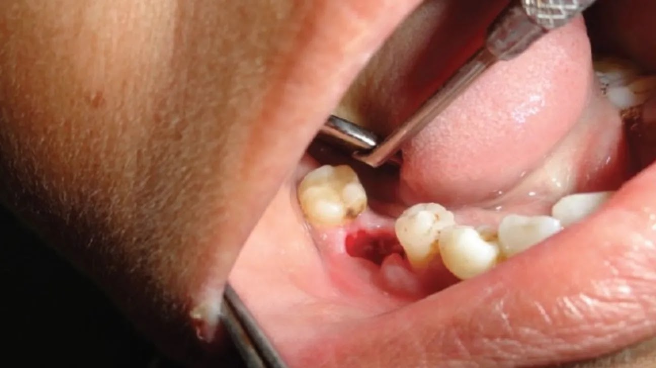
Tooth extractions are categorized into two key types based on the procedure’s complexity and the tooth’s condition: simple or surgical. Both types of tooth extractions offer numerous health benefits, including:
- Relief from pain and discomfort: Extractions alleviate the discomfort associated with decay, infections, or overcrowding.
- Facilitating future treatments: Extractions can make room for orthodontic appliances or prepare the area for dental implants or bridges.
- Protecting overall health: Removing an infected tooth prevents the infection’s potential spread, safeguarding other areas of the body.
Simple Extractions
Simple extractions are performed on teeth visible in the mouth. This straightforward procedure typically involves loosening the tooth using an instrument called an elevator and then gently removing it. Simple extractions are quick, minimally invasive, and often used for cases like loose teeth, small fractures, or moderate decay. Patients may experience mild discomfort during the process, but dentists take steps to help the procedure be as painless and efficient as possible. Aftercare instructions are provided to promote healing and avoid complications such as dry sockets.
Surgical Extractions
Surgical extractions are required for teeth that are not easily accessible, such as those that are partially erupted or impacted within the gums or jawbone. These procedures involve a small incision in the gum tissue, and in some cases, the tooth may be broken into smaller sections for easier removal. Surgical extractions are often performed for deeply decayed areas, impacted wisdom teeth, or instances of significant trauma. While the process is more complex, dentists use local anesthesia or sedation to keep patients comfortable.
Learn More About Tooth Extractions
Understanding the benefits and methods of tooth extractions is the first step toward making informed decisions about your dental care. If you’re contemplating whether an extraction is necessary, consulting with a dental professional can provide clarity and a personalized care plan. To learn more about how tooth extractions could help improve your oral health, schedule an appointment with your dental team today.






